Abnorme plasmaceller i knoglemarv fra myelomatosepatient

abnorme plasmaceller i knoglemarv fra myelomatosepatient jpg

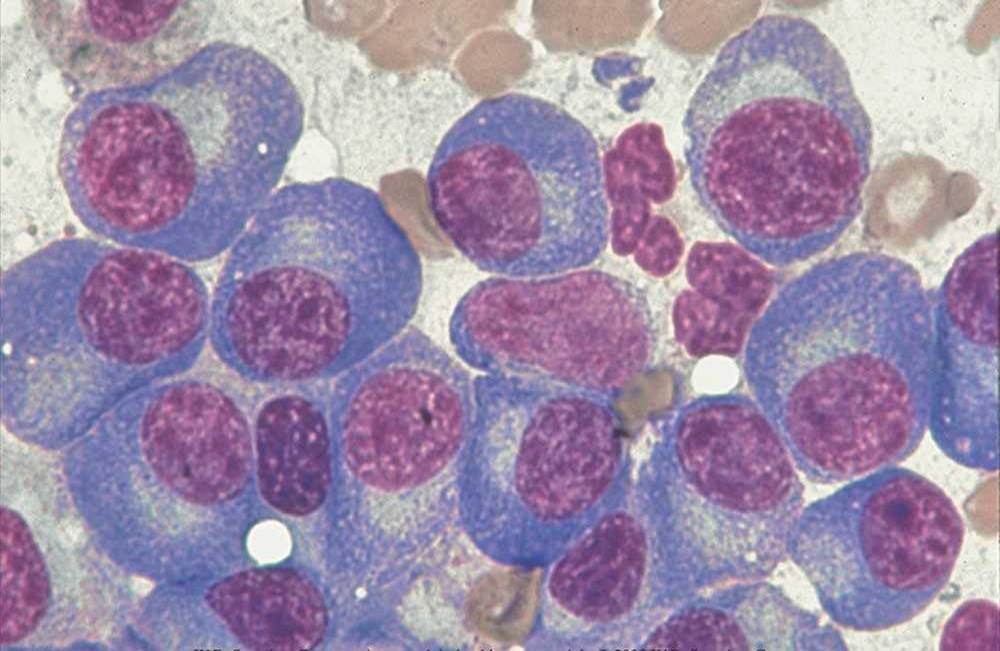
Ophobning i knoglemarven af abnormt store plasmaceller med ekscentrisk lejret kerne. Ofte et lysere område tæt ved kernen på en baggrund af blåligt cytoplasma. Knoglemarv fra patient med myelomatose.

Indhold leveret af

Patienthåndbogen

Patienthåndbogen

Kristianiagade 12

2100 København Ø

DisclaimerPatienthåndbogen