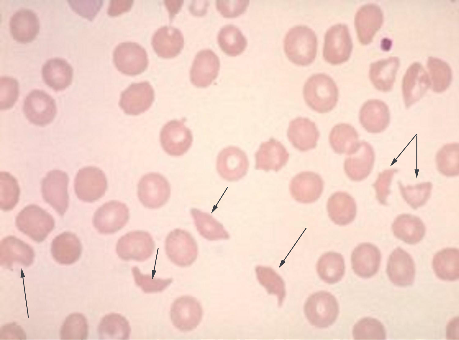
Fragmenterede erytrocytter ved TTP

fragmenterede erytrocytter ved ttp jpg

Fragmenterede erytrocytter ("æbleskrog" som pilene peger på) ved trombotisk trombocytopenisk purpura (TTP).

Indhold leveret af

Patienthåndbogen

Patienthåndbogen

Kristianiagade 12

2100 København Ø

DisclaimerPatienthåndbogen