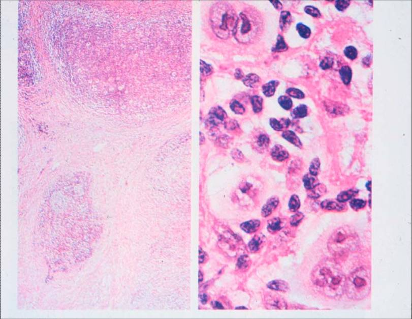
Granulomatøs infiltration af lymfeknude med typiske Reed-Sternberg celler

granulomatoes infiltration af lymfeknude med typiske typiske reed sternberg celler

I den lille forstørrelse til venstre ses lymfeknude opsplittet af kollagent bindevæv, som det ses ved en undertype af Mb. Hodgkin.

I den større forstørrelse til højre ses en klassiske Reed-Sternberg celler (tokernet med "spejlbillede kerner") i lymfeknude fra patient med Mb. Hodgkin.

Indhold leveret af

Patienthåndbogen

Patienthåndbogen

Kristianiagade 12

2100 København Ø

DisclaimerPatienthåndbogen