Jernmangelanæmi

jernmangelanemi-celledyrkning

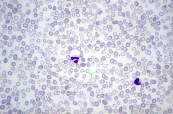
Nedsat farvemætning af røde blodceller, som udviser forskellig form og størrelse (anisopoikilocytose)

Indhold leveret af

Patienthåndbogen

Patienthåndbogen

Kristianiagade 12

2100 København Ø

DisclaimerPatienthåndbogen