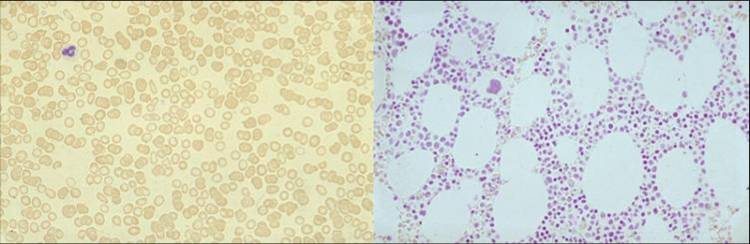
Hæmoglobinfattige erytrocytter/jerntom knoglemarv

jerntom knoglemarv-mikroskopi

Venstre: Perifert blod. Hypokrome mikrocytære erytrocytter.

Højre: Snit fra knoglemarv. Normoplastisk knoglemarv uden jernindhold. Blåfarvning af jerngranula i makrofager mangler.

Indhold leveret af

Patienthåndbogen

Patienthåndbogen

Kristianiagade 12

2100 København Ø

DisclaimerPatienthåndbogen