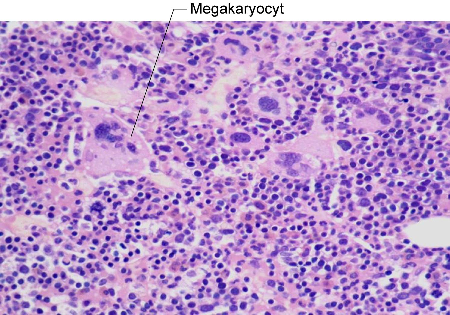
Knoglemarvsbiopsi -hypercellulær marv med mange megakaryocytter

knoglemarvsbiopsi
7074
Knoglemarvsbiopsi fra patient med polycythæmia vera: Hypercellulær marv med især mange, store abnorme megakaryocytter. (ligger hhv kl. 10, 13 og 14 i billedet).

Vil du vide mere

 

Indhold leveret af

Patienthåndbogen

Patienthåndbogen

Kristianiagade 12

2100 København Ø

DisclaimerPatienthåndbogen