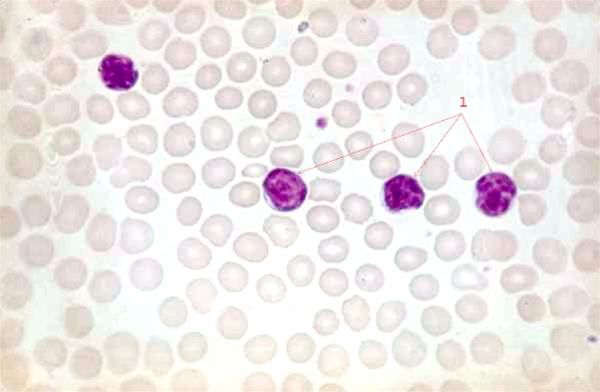
Kronisk lymfatisk leukæmi (x 40)

blod-kronisk lymfatisk leukemi x 40

40 x forstørrelse af bloddråbe i mikroskop. Bloddråben er strøget ud på lille glasplade, hvorefter der er tilsat farver, så cellerne ses tydeligt i mikroskopet.

1) Der ses 4 hvide blodlegemer (lymfocytter (= CLL-celler)) med stor kerne og sparsomt cytoplasma. Disse celler er omgivet af talrige og noget mindre røde blodlegemer (= erytrocytter).

Indhold leveret af

Patienthåndbogen

Patienthåndbogen

Kristianiagade 12

2100 København Ø

DisclaimerPatienthåndbogen