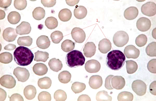
Lymfocytter ( = CLL-celler ved kronisk lymfatisk leukæmi)

blod-kronisk lymfatisk leukemi x 100

100 x forstørrelse

Der ses 3 CLL-celler (såkaldte lymfocytter = hvide blodlegemer) med stor kerne (mørk) og lidt cytoplasma. Cellerne er omgivet af en del røde blodlegemer (= erytrocytter).

Indhold leveret af

Patienthåndbogen

Patienthåndbogen

Kristianiagade 12

2100 København Ø

DisclaimerPatienthåndbogen