Perniciøs anæmi

blodceller-makrocytaer anaemi x 100

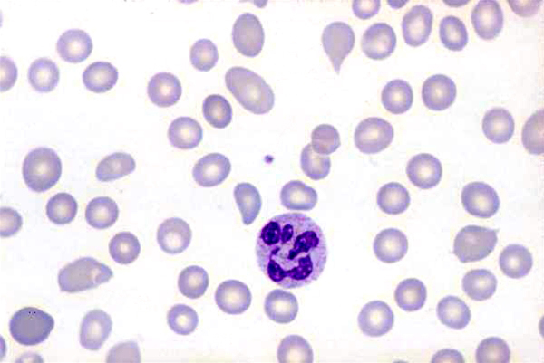
100 x forstørrelse.

Perniciøs anæmi karakteriseret ved usædvanligt store røde blodceller (makrocytære). Her ses desuden stor variation i størrelse og form af de røde blodceller. De hvide blodceller er karakteristisk hypersegmenteret (mere end 5 lapper).

Indhold leveret af

Patienthåndbogen

Patienthåndbogen

Kristianiagade 12

2100 København Ø

DisclaimerPatienthåndbogen