Mononukleose, reaktiv lymfocytose
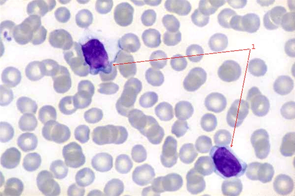
I den akutte fase af en EBV-infektion ses der en markant stigning i antallet af aktiverede, atypiske lymfocytter (store lymfocytter med stor oval eller bønneformet kerne og basofilt, vakuoliseret cytoplasma) - de såkaldte virocytter (se figuren). De kaldes også kaldet Downey celler eller Türk celler og er store blastlignende cytotoksiske (CD8+) T-celler rettet mod de EBV-inficerede B-celler. Samtidig ses en reaktiv lymfocytose (> 5 mio/L), hvilket medfører, at lymfocyttallet og dermed det samlede leukocyttal stiger.
Vil du vide mere?
- Mononukleose - for borgere
- Mononukleose - for sundhedsfaglige
Indhold leveret af
Patienthåndbogen
laegehaandbogen@dadl.dk
Patienthåndbogen
Kristianiagade 12
2100 København Ø
Disclaimer: Patienthåndbogen