Plasmaceller ved myelomatose

plasmaceller ved myelomatose

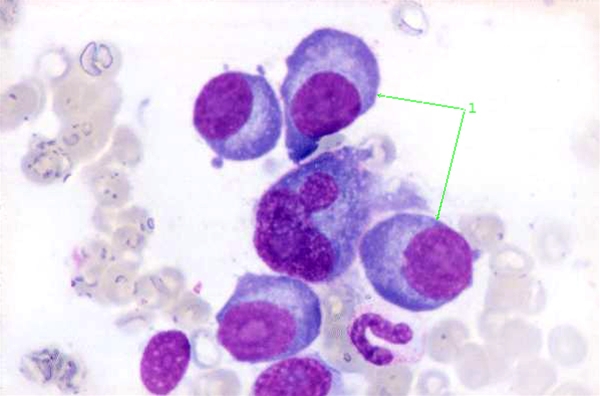
Figuren viser en knoglemarvsundersøgelse med plasmaceller (kræftceller) i hobe ved myelomatose (grønne pile ved to af plasmacellerne). Kernen er karakteristisk placeret ved cellemembranen. Endvidere ses tendens til pengerulledannelse af de røde blodlegemer (Rouleaux-dannelse) pga. forhøjet æggehvidestof i blodet (100 x forstørrelse).

Indhold leveret af

Patienthåndbogen

Patienthåndbogen

Kristianiagade 12

2100 København Ø

DisclaimerPatienthåndbogen