Umodne blodceller (blaster)

blod-akut myelogen leukaemi

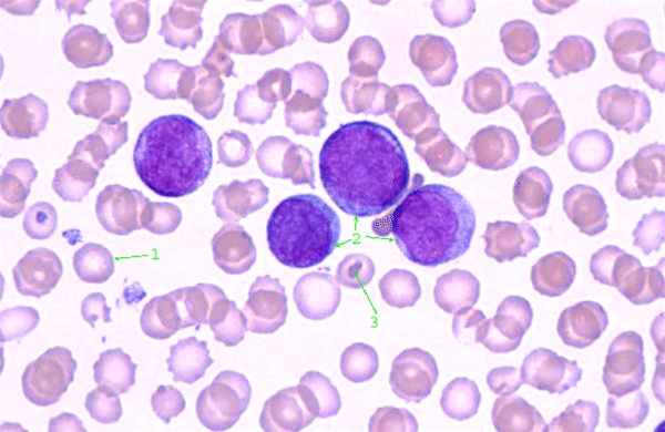
Figur : Leukæmiceller i perifert blod hos patient med akut myeloid leukæmi.

100 x forstørrelse

Umodne myeloide celler


 

Indhold leveret af

Patienthåndbogen

Patienthåndbogen

Kristianiagade 12

2100 København Ø

DisclaimerPatienthåndbogen