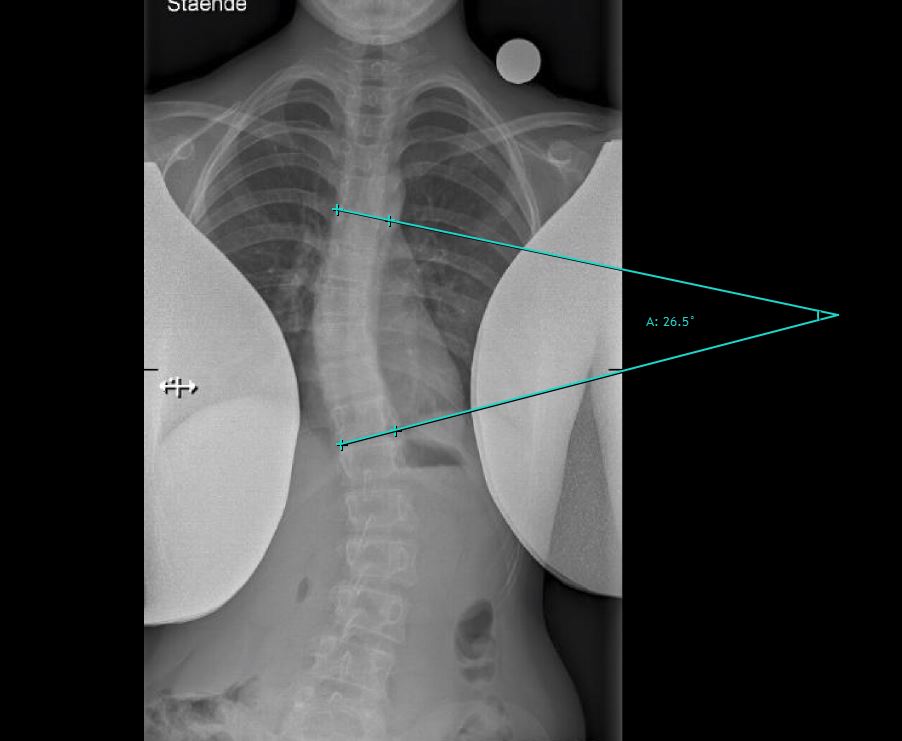
Cobbs vinkel
På dette røntgenbillede ses rygsøjlen bagfra. Der foretages en måling mellem den mest tiltede hvirvel i toppen og bunden af kurven. Der måles fra toppen af den øverste hvirvel og til bunden af den nederste hvirvel.

Ved skæv ryg (skoliose) beregnes ryggens skævhed ved at måle skoliosevinklen også kaldet Cobb's vinkel, som er vinklen mellem linjerne på røntgenbilledet.
Vil du vide mere?
Indhold leveret af
Patienthåndbogen
laegehaandbogen@dadl.dk
Patienthåndbogen
Kristianiagade 12
2100 København Ø
Disclaimer: Patienthåndbogen