Lichen planus - mund

lichen planus mund

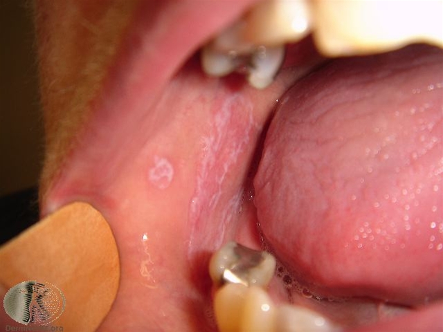
Lichen planus på slimhinde. 

Vil du vide mere?

Indhold leveret af

Patienthåndbogen

Patienthåndbogen

Kristianiagade 12

2100 København Ø

DisclaimerPatienthåndbogen