Ankel, skrå røntgenoptagelse

ankel-normal-skraabillede-roentgen
545
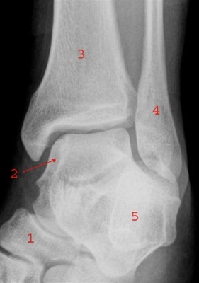
  1. Os naviculare (bådbenet)
  2. Talus (rullebenet eller springbenet)
  3. Tibia (skinnebenet)
  4. Fibula (lægbenet)
  5. Calcaneus (hælbenet)

Har du en kommentar til artiklen?

Bemærk venligst, at du IKKE vil modtage svar på henvendelser, der omhandler din egen sygdom, pårørendes sygdom, blodprøvesvar, hjælp til at udarbejde skoleopgaver og litteratursøgning.

Indhold leveret af

Patienthåndbogen

Lægehåndbogen

Kristianiagade 12

2100 København Ø

DisclaimerPatienthåndbogen