Fingerfraktur

finger-fraktur-rtg frontal
570

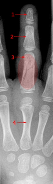
Skråfraktur uden fejlstilling gennem tredje fingers proksimale falanx. Bemærk at der er tale om en barneknogle med åbne epifyselinjer.

  1. Distale phalanx
  2. Midterste phalanx
  3. Proximale phalanx
  4. Metakarp

Vil du vide mere?

 

Har du en kommentar til artiklen?

Bemærk venligst, at du IKKE vil modtage svar på henvendelser, der omhandler din egen sygdom, pårørendes sygdom, blodprøvesvar, hjælp til at udarbejde skoleopgaver og litteratursøgning.

Indhold leveret af

Patienthåndbogen

Lægehåndbogen

Kristianiagade 12

2100 København Ø

DisclaimerPatienthåndbogen