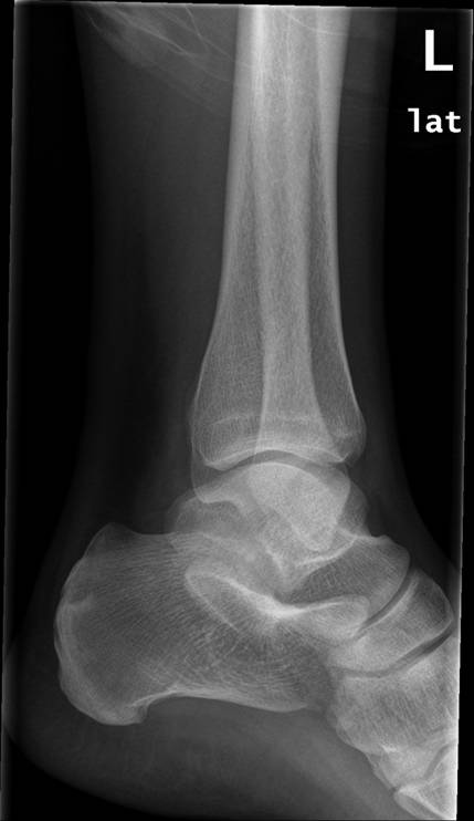
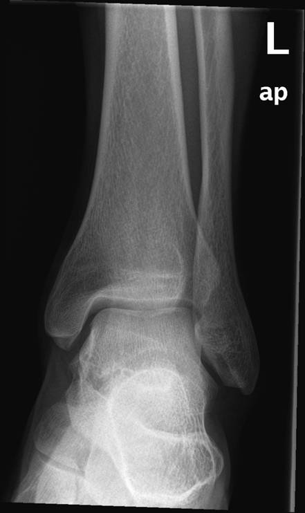
Fodled (2 projektioner), normal, røntgen

Normalt røntgenbillede af venstre fodled i 2 projektioner
Indhold leveret af

Normalt røntgenbillede af venstre fodled i 2 projektioner
Indhold leveret af