Fodrodsknogler, normal, skrå

fod-normal-skraa-roentgen
572
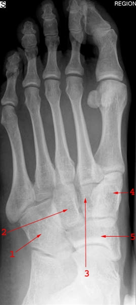
  1. Os cuboideum (terningbenet)
  2. Os cuneiforme laterale (yderste kileben)
  3. Os cuneiforme intermedium (mellemste kileben)
  4. Os cuneiforme mediale (inderste kileben)
  5. Os naviculare (bådbenet)

Har du en kommentar til artiklen?

Bemærk venligst, at du IKKE vil modtage svar på henvendelser, der omhandler din egen sygdom, pårørendes sygdom, blodprøvesvar, hjælp til at udarbejde skoleopgaver og litteratursøgning.

Indhold leveret af

Patienthåndbogen

Lægehåndbogen

Kristianiagade 12

2100 København Ø

DisclaimerPatienthåndbogen