Fraktur distalt i radius

arm-greenstickfraktur-rtg
598

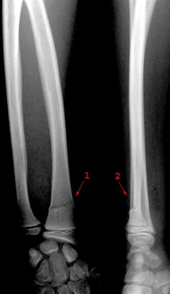
Fraktur distalt i radius med let dorsal vinkling af distale fragment (1 og 2). Bruddet er en såkaldt infraktion, der ligesom "greenstick" frakturen er et inkomplet brud, hvor kun den ene kortikalis er fraktureret.

Vil du vide mere?

Har du en kommentar til artiklen?

Bemærk venligst, at du IKKE vil modtage svar på henvendelser, der omhandler din egen sygdom, pårørendes sygdom, blodprøvesvar, hjælp til at udarbejde skoleopgaver og litteratursøgning.

Indhold leveret af

Patienthåndbogen

Lægehåndbogen

Kristianiagade 12

2100 København Ø

DisclaimerPatienthåndbogen