Gonartrose, let

knae-gigt-gonartrose let-rgt
595

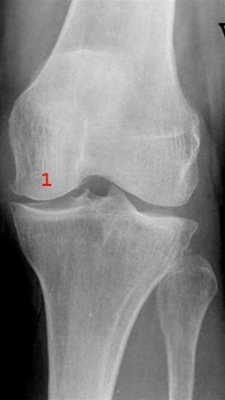
Let reduceret bruskhøjde medialt i knæleddet med mindre knogleudbygning på mediale femurkondyl og tilspidsning af eminentia (1).

Læs mere her:

Har du en kommentar til artiklen?

Bemærk venligst, at du IKKE vil modtage svar på henvendelser, der omhandler din egen sygdom, pårørendes sygdom, blodprøvesvar, hjælp til at udarbejde skoleopgaver og litteratursøgning.

Indhold leveret af

Patienthåndbogen

Lægehåndbogen

Kristianiagade 12

2100 København Ø

DisclaimerPatienthåndbogen