Gonartrose, moderat, front

knae-gonartrose-gigt-moderat front-rtg
596

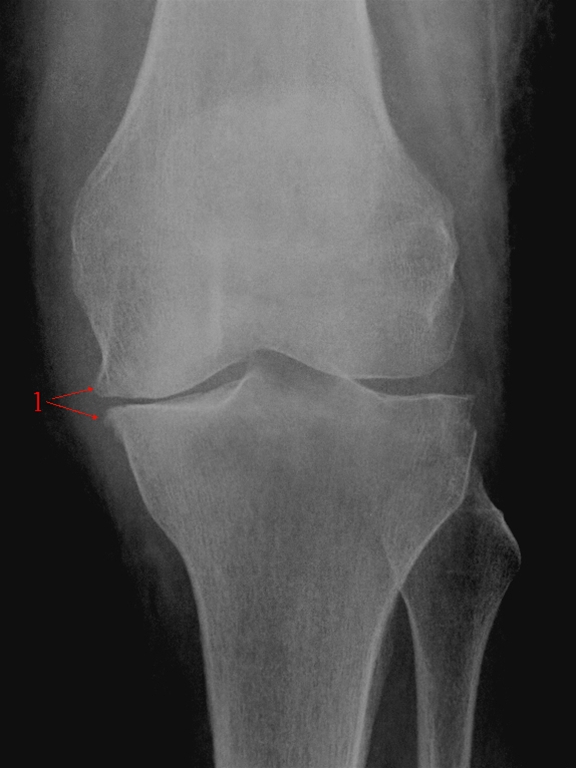
Moderat artrose medialt i knæleddet. Reduceret bruskhøjde og beskeden randudbygning af knogle (osteofytdannelse) omkring ledfladen (1)

Læs mere her:

Har du en kommentar til artiklen?

Bemærk venligst, at du IKKE vil modtage svar på henvendelser, der omhandler din egen sygdom, pårørendes sygdom, blodprøvesvar, hjælp til at udarbejde skoleopgaver og litteratursøgning.

Indhold leveret af

Patienthåndbogen

Lægehåndbogen

Kristianiagade 12

2100 København Ø

DisclaimerPatienthåndbogen