Greenstickfraktur af den store underarmsknogle (radius)

underarm-grenfraktur af den store underarmsknogle 1
6588

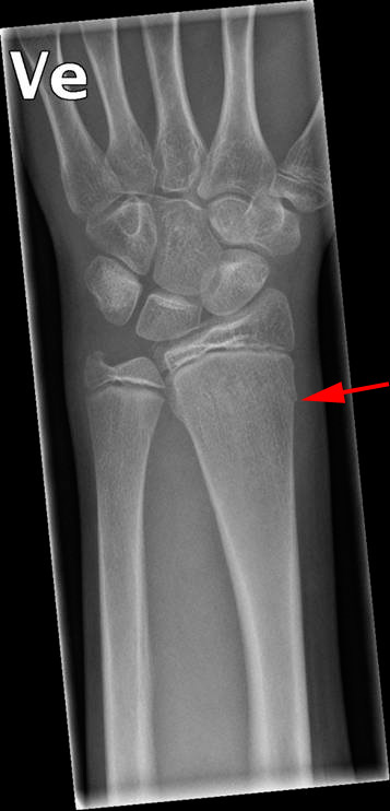
Såkaldt grenfraktur af den store underarmsknogle (radius). Barken er er knækket (rød pil), mens knoglebjælkerne har holdt.

Vil du vide mere:

Har du en kommentar til artiklen?

Bemærk venligst, at du IKKE vil modtage svar på henvendelser, der omhandler din egen sygdom, pårørendes sygdom, blodprøvesvar, hjælp til at udarbejde skoleopgaver og litteratursøgning.

Indhold leveret af

Patienthåndbogen

Lægehåndbogen

Kristianiagade 12

2100 København Ø

DisclaimerPatienthåndbogen