Hånd, Fraktur, Røntgen

haand-fraktur-roentgen
7524

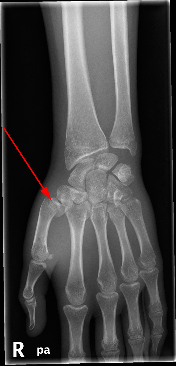
Røntgenundersøgelse af højre hånd viser en fraktur i tommelen (rød pil) - en såkaldt Bennetts fraktur.

Har du en kommentar til artiklen?

Bemærk venligst, at du IKKE vil modtage svar på henvendelser, der omhandler din egen sygdom, pårørendes sygdom, blodprøvesvar, hjælp til at udarbejde skoleopgaver og litteratursøgning.

Indhold leveret af

Patienthåndbogen

Lægehåndbogen

Kristianiagade 12

2100 København Ø

DisclaimerPatienthåndbogen