Håndled, Fraktur, Røntgen 1

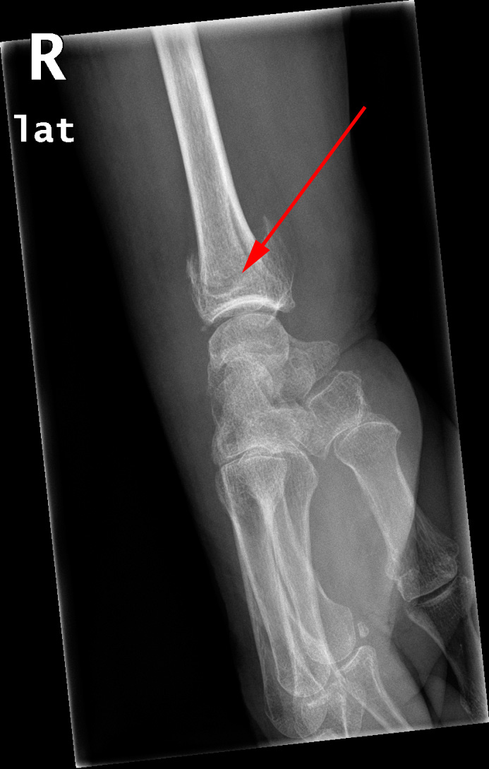
Røntgenundersøgelse af hånden viser distal radius fraktur (røde pil)
Vil du vide mere?
Indhold leveret af

Røntgenundersøgelse af hånden viser distal radius fraktur (røde pil)
Indhold leveret af