Håndled, Fraktur, Røntgen 2

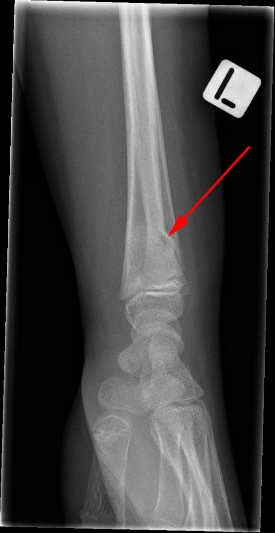
Røntgenundersøgelse af venstre hånd viser en såkaldt green-stick brud (rød pil) hos en yngre person.
Indhold leveret af

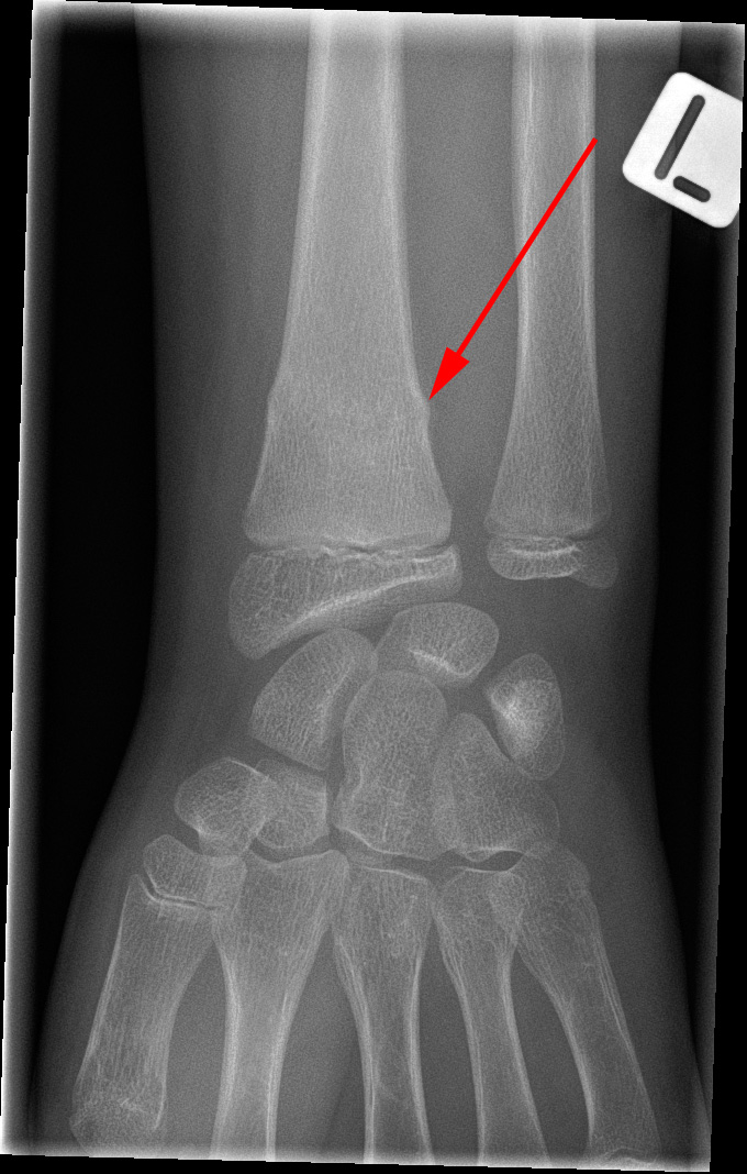
Røntgenundersøgelse af venstre hånd viser en såkaldt green-stick brud (rød pil) hos en yngre person.
Indhold leveret af