Håndled og håndrod front

haand-knogler set forfra-roentgen-2
607

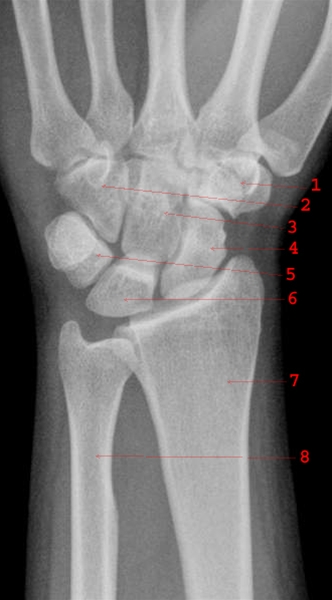
Normalt håndled og håndrod.

  1. Os trapezium
  2. Os hamatum
  3. Os capitatum
  4. Os scaphoideum
  5. Os triquetrum
  6. Os lunatum
  7. Radius
  8. Ulna

Har du en kommentar til artiklen?

Bemærk venligst, at du IKKE vil modtage svar på henvendelser, der omhandler din egen sygdom, pårørendes sygdom, blodprøvesvar, hjælp til at udarbejde skoleopgaver og litteratursøgning.

Indhold leveret af

Patienthåndbogen

Lægehåndbogen

Kristianiagade 12

2100 København Ø

DisclaimerPatienthåndbogen