Lunatummalaci - morbus Kienböck

Lunatummalaci

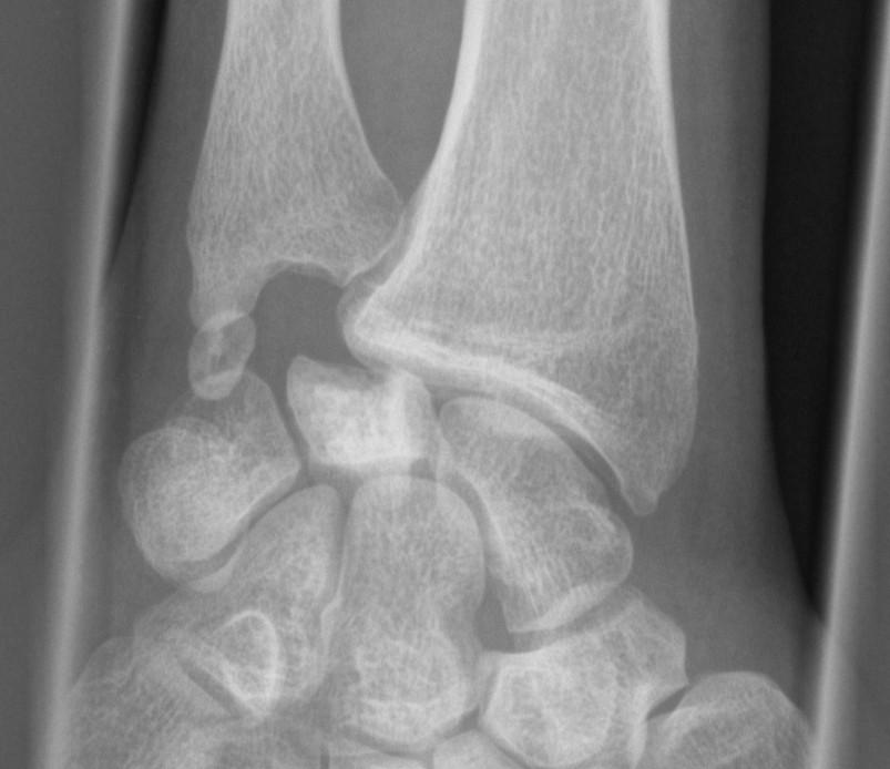
Lunatummalaci er en sygdom, hvor der er forstyrrelse i blodkredsløbet i den måneformede knogle i håndroden (os lunatum).  Røntgenbillede viser typiske forandringer i os lunatum med scleroseret knogle og delvis sammenfald. Desuden ses en udtalt ulna minus variant (ulna er kortere end radius).

Vil du vide mere?

Har du en kommentar til artiklen?

Bemærk venligst, at du IKKE vil modtage svar på henvendelser, der omhandler din egen sygdom, pårørendes sygdom, blodprøvesvar, hjælp til at udarbejde skoleopgaver og litteratursøgning.

Indhold leveret af

Patienthåndbogen

Lægehåndbogen

Kristianiagade 12

2100 København Ø

DisclaimerPatienthåndbogen