Hjernen, normal, CT
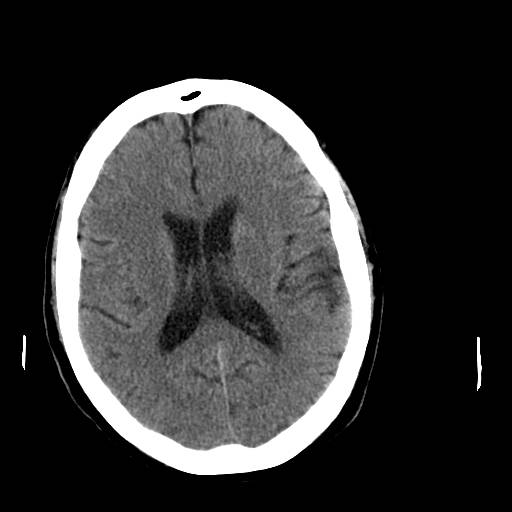
CT-skanning af normal hjerne uden kontrast hos en yngre person.

Vil du vide mere?
Indhold leveret af
CT-skanning af normal hjerne uden kontrast hos en yngre person.

Indhold leveret af