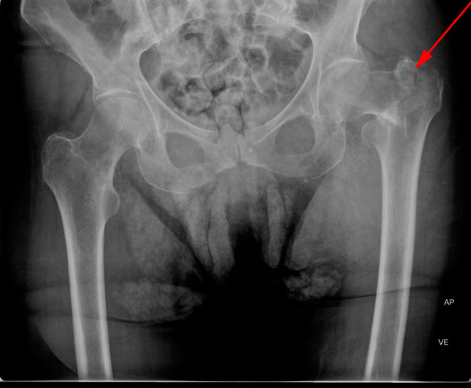
Hofte, fraktur, røntgen

Røntgenbillede af begge hofter forfra (øverst) og enkelt billede af venstre hofte fra siden viser et brud gennem øverste del af lårbensknoglen (rød pil), kaldet hoftebrud.
Vil du vide mere?
Indhold leveret af
Patienthåndbogen
laegehaandbogen@dadl.dk
Lægehåndbogen
Kristianiagade 12
2100 København Ø
Disclaimer: Patienthåndbogen