Hofte, røntgen, normal

hofte-normal-front-roentgen
601

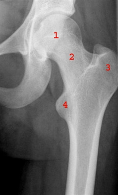
Frontalbillede af venstre hofte.

  1. Caput femoris (ledhoved)
  2. Collum femoris (lårhals)
  3. Trochanter major
  4. Trochanter minor

Har du en kommentar til artiklen?

Bemærk venligst, at du IKKE vil modtage svar på henvendelser, der omhandler din egen sygdom, pårørendes sygdom, blodprøvesvar, hjælp til at udarbejde skoleopgaver og litteratursøgning.

Indhold leveret af

Patienthåndbogen

Lægehåndbogen

Kristianiagade 12

2100 København Ø

DisclaimerPatienthåndbogen