Hofte, fraktur, røntgen

hofte-fraktur-roentgen
7559

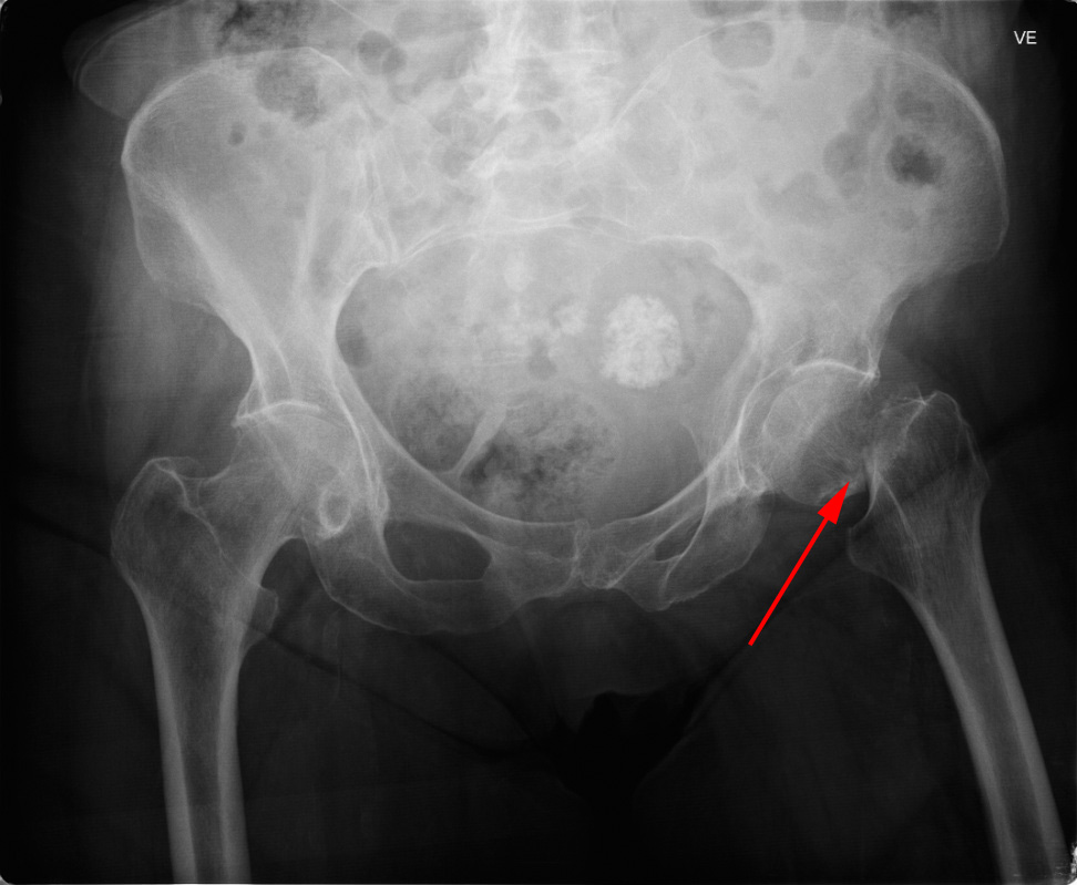
Røntgenundersøgelse af bækkenet der viser en hoftefraktur gennem lårbenshalsen (rød pil).

Vil du vide mere?

Har du en kommentar til artiklen?

Bemærk venligst, at du IKKE vil modtage svar på henvendelser, der omhandler din egen sygdom, pårørendes sygdom, blodprøvesvar, hjælp til at udarbejde skoleopgaver og litteratursøgning.

Indhold leveret af

Patienthåndbogen

Lægehåndbogen

Kristianiagade 12

2100 København Ø

DisclaimerPatienthåndbogen