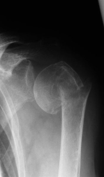
Proximal humerusfraktur, forskudt 4-part fraktur

arm-humerusfraktur-roentgen
603

4-part proksimal humerus fraktur. Der er forskydning af Tuberkulum Minor, Tuberkulum  Major og caput humeri.

Vil du vide mere?

 

Har du en kommentar til artiklen?

Bemærk venligst, at du IKKE vil modtage svar på henvendelser, der omhandler din egen sygdom, pårørendes sygdom, blodprøvesvar, hjælp til at udarbejde skoleopgaver og litteratursøgning.

Indhold leveret af

Patienthåndbogen

Lægehåndbogen

Kristianiagade 12

2100 København Ø

DisclaimerPatienthåndbogen