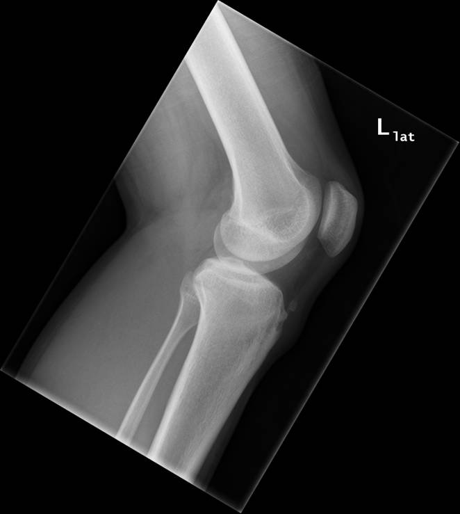
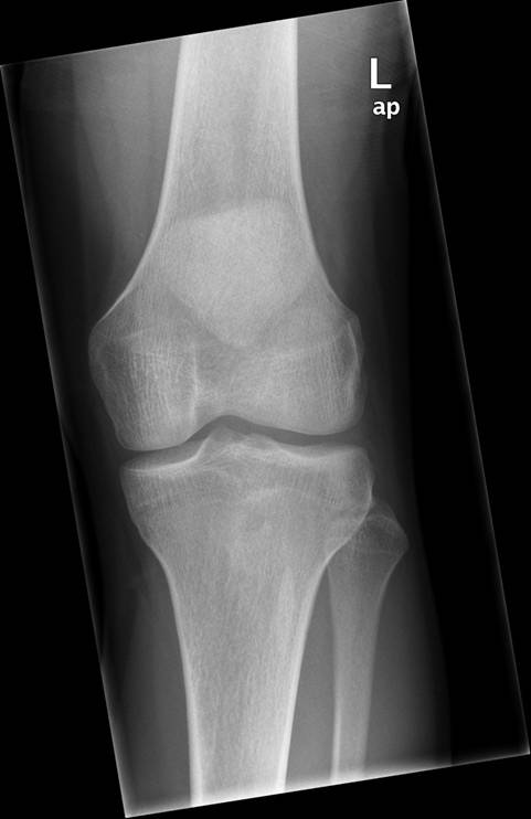
Knæ, Normal, Røntgen

Normalt røntgenbillede af venstre knæ i 2 projektioner.
Indhold leveret af
Patienthåndbogen
laegehaandbogen@dadl.dk
Lægehåndbogen
Kristianiagade 12
2100 København Ø
Disclaimer: Patienthåndbogen