Lænderyg, røntgen, sidebillede

ryg-lumbalcolumna side-roentgen
629

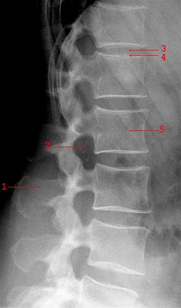
Normalt sidebillede af de lumbale hvirvler (rygsøjlen, nedre del)

  1. Processus spinosus
  2. Foramen intervertebrale
  3. Discus lumbalis (lidt komprimeret)
  4. Øvre dækplade L1
  5. Hvirvellegeme, corpus vertebrae af L2

Har du en kommentar til artiklen?

Bemærk venligst, at du IKKE vil modtage svar på henvendelser, der omhandler din egen sygdom, pårørendes sygdom, blodprøvesvar, hjælp til at udarbejde skoleopgaver og litteratursøgning.

Indhold leveret af

Patienthåndbogen

Lægehåndbogen

Kristianiagade 12

2100 København Ø

DisclaimerPatienthåndbogen