Malleolfraktur, fibula

underben-fraktur af spolebenet
6699

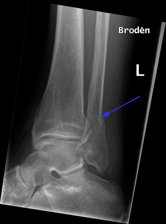
Klassisk fraktur (blå pil) af lægbenet (fibula) tæt på fodleddet – såkaldt  lateral malleolfraktur.

Vil du vide mere?

Har du en kommentar til artiklen?

Bemærk venligst, at du IKKE vil modtage svar på henvendelser, der omhandler din egen sygdom, pårørendes sygdom, blodprøvesvar, hjælp til at udarbejde skoleopgaver og litteratursøgning.

Indhold leveret af

Patienthåndbogen

Lægehåndbogen

Kristianiagade 12

2100 København Ø

DisclaimerPatienthåndbogen