Malleolfraktur

ankel-malleolfraktur-roentgen
631

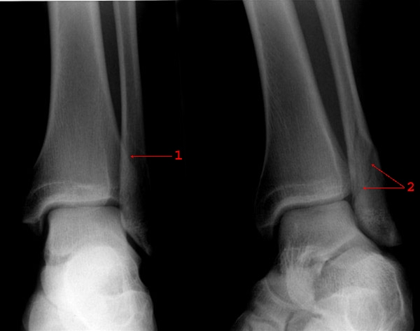
Forfra- og skråprojektion af venstre ankel. Skråfraktur (1 og 2), uden fejlstilling gennem laterale malleol. Frakturen er mest synlig i skråprojektion (2).

Vil du vide mere?

 

Har du en kommentar til artiklen?

Bemærk venligst, at du IKKE vil modtage svar på henvendelser, der omhandler din egen sygdom, pårørendes sygdom, blodprøvesvar, hjælp til at udarbejde skoleopgaver og litteratursøgning.

Indhold leveret af

Patienthåndbogen

Lægehåndbogen

Kristianiagade 12

2100 København Ø

DisclaimerPatienthåndbogen