Metacarp 1 fraktur

haand-metacarp-1-fraktur-roentgen

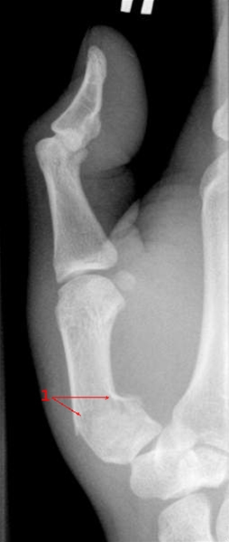
Vinklet fraktur gennem basis af første metakarp (1).

Bruddet er vinklet, og det vil være nødvendig at sætte bruddet på plads i lokalbedøvelse og anlægge gipsbandage. Det er vigtigt at være opmærksom på, at der ved denne type brud kan være tale om en Y-formet fraktur, der går ind i ledfladen (Rolando fraktur), der ofte ikke kan holdes på plads i gips alene. Ved Rolando fraktur er det ofte nødvendig med operation med stabilisering af bruddet med metalstifter (K-tråde).

Vil du vide mere?

Har du en kommentar til artiklen?

Bemærk venligst, at du IKKE vil modtage svar på henvendelser, der omhandler din egen sygdom, pårørendes sygdom, blodprøvesvar, hjælp til at udarbejde skoleopgaver og litteratursøgning.

Indhold leveret af

Patienthåndbogen

Lægehåndbogen

Kristianiagade 12

2100 København Ø

DisclaimerPatienthåndbogen