Metacarp 5 fraktur

haand-metacarp 5 fraktur-roentgen
636

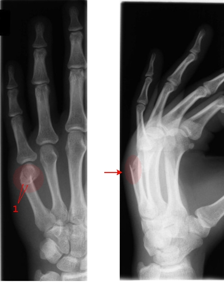
Tværbrud af femte mellemhåndsknogle (metakarp) ved knoen (pil). Typisk brud efter slag mod hårdt objekt og kaldes i engelsksproget litteratur "Boxer's fracture", da den typisk kan opstå ved slag med knytnæve. Ved brud på mellemhåndsknoglen vil der være smerter ved brug af hånden, ømhed ved tryk mod knoglen og eventuelt hævelse og misfarvning af huden. 

Vil du vide mere?

Har du en kommentar til artiklen?

Bemærk venligst, at du IKKE vil modtage svar på henvendelser, der omhandler din egen sygdom, pårørendes sygdom, blodprøvesvar, hjælp til at udarbejde skoleopgaver og litteratursøgning.

Indhold leveret af

Patienthåndbogen

Lægehåndbogen

Kristianiagade 12

2100 København Ø

DisclaimerPatienthåndbogen