Radiusfraktur

radius-fraktur-roentgen-haand
642

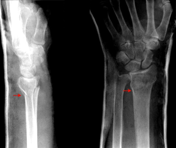
Fraktur ( rød pil) gennem distale radius. Sidebilledet til venstre viser med let dorsalvinkling af distale segment (gaffelformet fejlstilling), og denne frakturtype kaldes også for en Colles fraktur.
Frontalbillede til højre viser at brudlinjen går ind i ledfladen (intra-artikulært), dog uden spring i ledfladen.

Vil du vide mere?

 

Har du en kommentar til artiklen?

Bemærk venligst, at du IKKE vil modtage svar på henvendelser, der omhandler din egen sygdom, pårørendes sygdom, blodprøvesvar, hjælp til at udarbejde skoleopgaver og litteratursøgning.

Indhold leveret af

Patienthåndbogen

Lægehåndbogen

Kristianiagade 12

2100 København Ø

DisclaimerPatienthåndbogen