Radiusfraktur, front

radius-fraktur-front roentgen
643

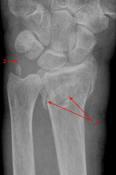
Fraktur gennem distale radius (1), samt afsprængning af processus styloideus ulna (2).

Denne fraktur har dorsalvinkling af ledfladen, og kaldes også en Colles fraktur. 

Vil du vide mere?

Har du en kommentar til artiklen?

Bemærk venligst, at du IKKE vil modtage svar på henvendelser, der omhandler din egen sygdom, pårørendes sygdom, blodprøvesvar, hjælp til at udarbejde skoleopgaver og litteratursøgning.

Indhold leveret af

Patienthåndbogen

Lægehåndbogen

Kristianiagade 12

2100 København Ø

DisclaimerPatienthåndbogen