Torakalcolumna, forfra

rygsoejle-normal-front-roentgen
657

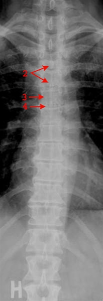
Normalt frontalbillede af torakalcolumna (rygsøjlen i brystkasseniveau) 

  • 2. Processus spinosus
  • 3. Hvirvellegeme, corpus vertebrae
  • 4. Diskus

    Har du en kommentar til artiklen?

    Bemærk venligst, at du IKKE vil modtage svar på henvendelser, der omhandler din egen sygdom, pårørendes sygdom, blodprøvesvar, hjælp til at udarbejde skoleopgaver og litteratursøgning.

    Indhold leveret af

    Patienthåndbogen

    Lægehåndbogen

    Kristianiagade 12

    2100 København Ø

    DisclaimerPatienthåndbogen