Totalprotese hofte

hofte-totalprotese-roentgen
658

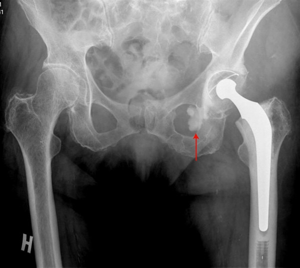
Cementeret Charnley totalprotese i venstre hofte

Cementlækage (pil) medialt fra acetabulum, der normalt ikke giver kliniske gener. 

Vil du vide mere:

Har du en kommentar til artiklen?

Bemærk venligst, at du IKKE vil modtage svar på henvendelser, der omhandler din egen sygdom, pårørendes sygdom, blodprøvesvar, hjælp til at udarbejde skoleopgaver og litteratursøgning.

Indhold leveret af

Patienthåndbogen

Lægehåndbogen

Kristianiagade 12

2100 København Ø

DisclaimerPatienthåndbogen