Fakta
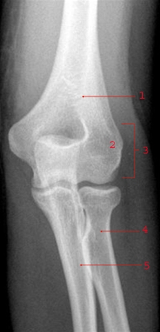
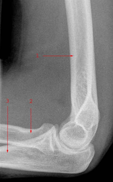
- Underarmens spoleben ender i albueleddet med et rundt ledhoved
- Hvis du falder på strakt albueled, kan der komme brud i ledhovedet
- De uforskudte knoglebrud kræver blot en armslynge i 2 uger, mens de forskudte brud typisk kræver operation
Underarmen består af 2 knogler:
Disse 2 knogler danner led med overarmsbenet i albuen og med håndrodsknoglerne i håndleddet. Knoglerne holdes fast sammen af ledbånd.
Bruddet sidder ved overgangen til spolebenshovedet i det område, der kaldes "collum" (halsen).
Brud i øvre del af spolebenet, ved overgangen til radiushovedet (som danner led med overarmsbenet), er en hyppig brudtype hos børn.


Skaden giver umiddelbart smerte, hævelse og nedsat bevægelighed. Personen har smerter på tommelsiden af albuen, og der er ømhed ved tryk på radiushovedet.
Det er ikke muligt at strække helt ud i albuen, og det gør ondt, når du roterer underarmen udad og indad.
Lægen vil undersøge, om der samtidig er skade i skulderled eller håndled.
Føleforstyrrelser på hånden eller hvis hånden bliver bleg/hvid, tyder på mulig skade på kar eller nerve, og du skal derfor straks søge læge.
Det er dog meget sjældent ved denne type brud.
Diagnosen bekræftes ved røntgenbillede.
Skaden opstår enten ved fald på strakt arm eller ved direkte slag mod denne del af albuen.
Målet med behandlingen er at få bruddet til at hele i korrekt stilling, så du genvinder din normale funktion i albuen.
Du bliver behandlet med gips eller bandage, hvis bruddet står i normal stilling eller kun er lidt ude af stilling, eller hvis lægen er i stand til at trykke bruddet på plads til god stilling (gøres under bedøvelse).
Hvis det ikke er muligt for lægen at sætte bruddet på plads, kan det blive nødvendigt at operere.
Hvis bruddet står i god stilling, skal du have en armslynge på i 2 uger med albuen i 90 graders vinkel.
Er bruddet lidt ude af stilling, skal du beholde gipsen på i 2-3 uger.
Hvis lægen skal trykke bruddet på plads, får du en kortvarig narkose for at undgå smerter. Derefter gipses armen.
Efter at gipsen er fjernet, starter du med forsigtig optræning af bevægeligheden. Undgå for voldsom brug af armen de første 2-3 måneder. Bevægeligheden vender som regel fint tilbage, men det kan tage flere måneder i enkelte tilfælde.
Hvis bruddet står pænt, er det tilstrækkeligt med kontrol med røntgen 1 uge efter skaden. For de øvrige brudtyper kontrolleres normalt med røntgen 1, 2, 3 og 6 uger efter skaden.
Hvis det ikke er muligt at få bruddet på plads, kan det være nødvendigt at operere.
Lægen sætter så bruddet i tilfredsstillende stilling og fastgør bruddet med en metalpind eller eventuelt en lille specialskinne.
Gipsning, optræning og kontroller er en normal del af behandlingen, men du skal ikke til hyppige røntgenkontroller.
De uforskudte knoglebrud heler op uden væsentlige gener.
Hvis du anvender gipsskinne som led i behandlingen, er det vigtigt, at trykgener bliver kontrolleret, så der ikke opstår tryksår på armen.
Prognosen er normalt god. Bevægeligheden i albuen bliver oftest god igen, men det kan tage flere måneder.
På længere sigt kan der komme nedsat bevægelighed, når du drejer udad i underarmen.
Skader i leddet giver nedsat bevægelighed i albuen og tidlig lukning af vækstzonen i spolebenet. Det betyder, at knoglen kan blive kortere, end det var tiltænkt.
Denne type brud er relativt hyppig, og ses både hos børn og voksne.
Med alderen svækkes knoglerne, og bruddet opstår derfor let hos ældre ved fald på strakt arm.
Fagmedarbejdere
Indhold leveret af
Patienthåndbogen
Kristianiagade 12
2100 København Ø
Disclaimer: Patienthåndbogen