Brud på knæskal

Søren Kold

speciallæge

Fakta

  • Et brud på knæskallen er et brud på den knogle, som ligger lige foran knæet
  • Ved et brud gør det meget ondt fortil på knæet. Det kan være hævet, rødt og svært at strække ud
  • Behandlingen er ofte en bandage eller gips. Hvis knoglestykker er forskudte, behandler man med operation

Knæskallen

Knæskallen (patella) er den runde knogle, som ligger på forsiden af knæet. Knæskallen giver en forstærkning af senen til de kraftige muskler på lårets forside, knæstrækkerne.

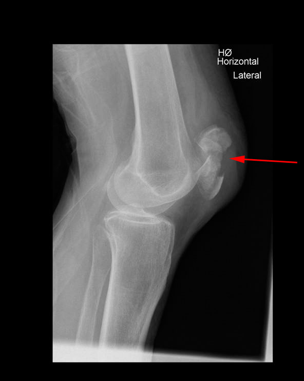
Røntgenbillederne nedenfor viser brud på knæskal set forfra og fra siden:

Brud på knæskal, røntgenbillede
 

Brud på knæskal, røntgenbillede

Brud i knæskallen er relativt usædvanligt. Man skelner mellem længdegående brud, tværgående brud, afrivningsbrud og knusningsbrud.

Hvad er symptomerne på brud på knæskallen?

Hvis der er brud i knæskallen, vil du få kraftige smerter i knæet, især fortil. Ofte vil der være hævelse omkring leddet, og det kan blive rødt og smertefuldt. Det vil være vanskeligt at bevæge knæleddet, specielt at strække det.

Hvilke symptomer skal du være særlig opmærksom på?

Du kan have nedsat eller manglende evne til at strække knæet.

Hvordan stilles diagnosen?

For at se om der er brud, og eventuelt hvor bruddet er, bliver der taget røntgenbilleder af knæet. På billedet skelner man mellem forskudte eller ikke forskudte brud, og mellem længdegående brud, tværgående brud, afrivningsbrud eller knusningsbrud.

Hvordan opstår brud på knæskallen?

Brud på knæskallen opstår oftest ved fald på knæet eller ved en kraftig bøjning i knæet.

Nogle gange kan kraftige belastninger på lårmusklerne være nok, fx ved at hoppe.

Hvilken behandling er der?

Ikke forskudte brud

Brud på knæskallen, hvor knoglen ikke har forskudt sig, behandles med gips eller skinne. Hensigten er at afstive knæleddet, så bruddet vokser sammen.

Gipsen eller skinnen bliver lagt fra låret til anklen og skal som regel ligge på i 6-8 uger. Under og efter denne periode får man taget nye røntgenbilleder. Det gør man for at kontrollere, om bruddet heler uden at forskyde sig og vokser helt sammen.

Afhængig af bruddet kan du eventuelt få lov til at træne og belaste knæet, efter smerterne har lagt sig, men ved andre typer brud skal man holde knæet strakt, indtil knoglen gror sammen.

Forskudte brud

Ved knæskalsbrud, hvor knoglen har forskudt sig, er det nødvendigt at operere for at sætte knoglestykkerne sammen. Efter operationen kan det være nødvendigt at afstive knæleddet i 4-6 uger med gips eller skinne.

Er bruddet stabilt efter operationen, er gips ikke nødvendigvis påkrævet. Du kan da begynde med at bevæge knæet efter nogle dage.

Vægtbæring på strakt knæ tillades, men ikke vægtbæring på bøjet knæ. Det er derfor ofte nødvendig med en skinne, der beskytter knæet mod at blive bøjet helt. 

Når eventuel gips er fjernet, vil lårmusklerne ofte være svækket. For at undgå problemer på sigt med stivhed og smerte er det derfor vigtigt, at du træner en periode. Det kan ofte være en god ide at få hjælp af en fysioterapeut i denne fase.

Hvad kan jeg selv gøre?

Hvis du har smerter ved knæet og vanskeligt ved at støtte på benet efter at være faldet, så læg noget køligt på og hold knæet op, så det ikke hæver.

Hvordan undgår jeg at forværre brud på knæskallen?

Hvis du har mistanke om knæskalsbrud, så kontakt din læge/vagtlægen. Hold da knæet i ro og afvent hjælp.

Hvis det ikke er muligt at få kontakt til professionel hjælp, så skal man lave en støtteskinne til transport, se knoglebrud, førstehjælp.

Hvornår skal jeg søge hjælp? 

Hvis du har vedvarende smerter ved knæet og vanskeligt ved at støtte på benet, skal du søge læge. 

Hvordan udvikler sygdommen sig?

Hvis bruddet vokser pænt sammen, vil man sandsynligvis mærke få eller slet ingen gener i efterforløbet. Enkelte kan få nedsat strækevne, smerter og stivhed, men god optræning kan i mange tilfælde modvirke dette. 

Hvis bruddet er meget knust, kan der senere opstå slidgigt.

Hvor hyppig er brud på knæskallen?

Knæskalsbrud udgør 1 % af alle knoglebrud.

Vil du vide mere?

Kilder

Fagmedarbejdere

Søren Kold

klin. prof., overlæge, ph.d., Klinisk Institut, Aalborg Universitet og det ortopædkirurgiske speciale, Aalborg Universitetshospital

Erling Peter Larsen

speciallæge i almen medicin, Silkeborg

Indhold leveret af

Patienthåndbogen

Patienthåndbogen

Kristianiagade 12

2100 København Ø

DisclaimerPatienthåndbogen