Knæbrud

Søren Kold

speciallæge

Fakta

  • Brud i lårben, skinneben og knæskal kan have forbindelse til knæleddet. Det betyder, at brusken og ledfladen i knæet kan tage skade
  • Efter en skade vil der hurtigt opstå hævelse af knæet pga. blødning fra bruddet. Man har smerter, når knæet bevæges, eller når man støtter på benet
  • Hvis bruddet er forskudt og ikke kan sættes på plads, kan der efterhånden udvikle sig smertefuld slidgigt
  • Hos ældre kan disse brud opstå ved mindre skader, som for eksempel et fald. Brud, som ikke er forskudte, kan behandles med bandage
  • Forskudte brud kræver ofte operation. Slutresultatet afhænger i høj grad af, hvor meget ledfladen har taget skade ved bruddet, og hvor godt bruddet har kunnet sættes på plads

Hvad er symptomerne på brud i knæet?

Efter en skade vil der hurtigt opstå hævelse af knæet på grund af blødning fra bruddet. Du har smerter, når knæet bevæges, eller når du støtter på benet.

Hvilke symptomer skal du være særlig opmærksom på?

Smerter, hævelse og besvær med at bevæge knæet, samt at støtte på benet.

Hvordan stilles diagnosen?

For at fastslå, at der er brud, bliver der taget almindelige røntgenbilleder af knæet. Nogle gange bliver der også foretaget CT-skanning eller en MR-skanning, som bedre viser skader på sener og menisker.

Hvorfor får man brud i knæet?

Brud i knæet sker først og fremmest ved skader og slag direkte mod knæet, især i kraftige kollisionsulykker. Vrid i knæet giver sjældnere brud og oftere ledbåndsskader hos yngre.

Hos ældre mennesker med nedsat knoglestyrke kan et brud opstå efter et fald eller vrid af knæet.

Hvilken behandling er der?

Brud i knæet giver som regel mange smerter, og det er ofte nødvendigt med smertestillende behandling.

Det er brudtypen, som afgør den videre behandling. Ved uforskudte brud kan behandlingen bestå af gips eller anden form for bandage. Hvis bruddet er forskudt, er det dog ofte nødvendigt med operation for at sikre, at bruddet vokser pænt sammen.

OBS: Hvis gipsen er blevet for stram, kan blodtilførslen til læggen og foden bliver afklemt, såkaldt muskelloge syndrom. Dette mærker man ved kraftige smerter i fod og tæer. Hvis dette sker, skal du straks tage kontakt med læge, så gipsen bliver lagt om.

Uanset hvilken behandling der vælges, er det nødvendigt med relativ langvarig aflastning af leddet. Det kan dreje sig om 6 til 8 uger. I løbet af denne periode vil du blive indkaldt til kontroller.

Det er vigtigt, at du bevæger tæerne meget for at undgå stivhed i foden.

Når gips eller afstivningsbandage er fjernet, vil lårmusklerne ofte være betydeligt svækket, fordi de ikke er blevet brugt. Det er da vigtigt, at du gennemfører et genoptræningsprogram for at få styrken tilbage. Det kan være en fordel med vejledning og eventuelt behandling hos en fysioterapeut.

Hvad kan jeg selv gøre?

Hold knæet højt og læg noget køligt på knæet for at undgå, at knæet hæver op.

Hvordan undgår jeg at få eller forværre knæbrud?

Hold knæet i ro, indtil du er blevet set af lægen.

Hvornår skal jeg søge hjælp? 

Hvis du har smerter, hævelse og besvær med at bevæge knæet, samt at støtte på benet. 

Komplikationer og langtidsudsigterne?

Hos de fleste vokser knoglen fint sammen. Enkelte kan få lidt ubehag i form af stivhed og smerter den første tid efter et knæbrud. Generne aftager som regel med tiden.

Hvis du er flittig til at genoptræne muskelstyrken, vil du som regel klare dig uden eller med få gener i efterforløbet.

Hvis bruddet er forskudt og ikke kan sættes på plads, kan der efterhånden udvikle sig smertefuld slidgigt.

En sjælden gang kan blodårer og nerver blive skadet samtidig med, at bruddet opstår. Sådanne skader vokser ikke så let sammen, og der kan opstå muskelsvaghed og følelsesløshed i læggen og foden.

Tobaksrygning kan have dårlig indflydelse på bruddets heling.

Hvor hyppig er knæbrud?

Brud ved knæet er relativt hyppigt hos yngre sportsudøvere samt hos ældre efter fald. 

Om knæet

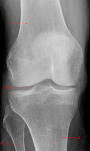
Knæet forbinder lårbenet med de 2 underbensknogler (se figuren nedenfor - skinnebensknoglen (2) og lægbenet (3)). Mellem lårbenet (1) og skinnebenet ligger de 2 menisker (4) som beskyttende bruskskiver, der tager af for stød (se tegning).

Røntgenbillede af knæ, front

Leddet stabiliseres af de 2 kraftige korsbånd og sideledbånd på ydersiden og indersiden af knæet.

Forrest i knæet ligger knæskallen, som egentlig er en forstærkning i senen til knæstrække-musklerne.

Brud kan forekomme i lårbenets eller skinnebenets ledflader og i knæskallen. Brud i lårben, skinneben og knæskal kan have forbindelse til knæleddet. Det betyder, at brusken i leddet kan tage skade.

Vil du vide mere?

Kilder

Fagmedarbejdere

Søren Kold

klin. prof., overlæge, ph.d., Klinisk Institut, Aalborg Universitet og det ortopædkirurgiske speciale, Aalborg Universitetshospital

Erling Peter Larsen

speciallæge i almen medicin, Silkeborg

Indhold leveret af

Patienthåndbogen

Patienthåndbogen

Kristianiagade 12

2100 København Ø

DisclaimerPatienthåndbogen