Mellemhånden, knoglebrud, metakarpbrud

Torben Bæk Hansen

speciallæge

Fakta

  • Metakarpbrud er brud i mellemhåndens knogler
  • Denne type brud opstår oftest ved direkte slag mod hånden
  • Brud under lillefingerens kno opstår oftest efter knytnæveslag
  • Der er smerter ved brug af hånden, ømhed ved tryk på knoglen samt hævelse og misfarvning
  • De fleste brud i mellemhånden kan behandles med bandage i 4 uger
  • Nogle gange er det nødvendigt at operere

Hvad er en brækket mellemhånd?

Mellemhåndsknoglerne, (metakarperne), forbinder håndroden med de fem fingre. Tommelen kaldes 1. finger og mellemhåndsknoglen 1. metacarp, og det gælder også de øvrige fingre, således at lillefingeren kaldes 5. finger og mellemhåndsknoglen 5. metacarp.

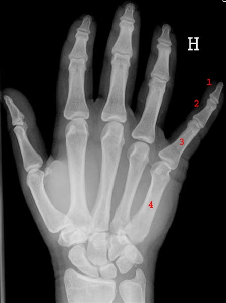
En mellemhåndsknogle består af to ledhoveder og et langt skaft. Mellemhåndsknogler (nr. 4 på billedet) danner led med fingerknoglerne i den ene ende og med håndroden i den anden ende.

Visse brud kræver speciel opmærksomhed:

  • Brud gennem knoglen, der går ind i leddet og derfor påvirker ledfladen mod håndroden eller ind i grundleddene ved fingrene, kræver af og til operation.
  • Brud gennem knoglen, der går ind i leddet ved 1. mellemhåndsknogle, hvor skaftdelen af den brækkede knogle trækkes ud af stilling, fordi en kraftig muskel er fæstet til denne knogle kræver operation. Bruddet betegnes Bennet-brud
  • Brud gennem ledfladen mod håndroden af 5. mellemhåndsknogle kaldes "omvendt" Bennet-brud
  • Visse brud i skaftet kan også rotere, så fingeren lægger under nabofingeren, når den bøjes. Det kræver normalt operation

Hvad er symptomerne på en brækket mellemhånd?

  • Smerter ved brug af hånden
  • Direkte ømhed ved tryk på knoglen og indirekte ømhed ved tryk på langs af knoglen (fingeren presses mod knoglen)
  • Da mellemhåndens knogler ligger tæt under huden på håndryggen, vil der ofte ses hævelse og misfarvning fra blodansamlingen omkring knoglen
  • Ved forskudte brud kan fingeren være roteret eller knoglen forkortet, så knoen ikke ligger rigtigt på række med de andre knoer

Hvilke symptomer skal du være særlig opmærksom på?

Vær opmærksom på smerter, der ikke umiddelbart forsvinder efter slag eller vrid, samt hvis fingeren lægger sig ind under nabofingeren, når den bøjes.

Hvordan stilles diagnosen?

Efter en skade mod hånden opstår symptomerne, som er beskrevet ovenfor. 

Ved undersøgelse finder lægen hævelse. Tryk mod knoglen udløser smerte.

Der er også bankeømhed på brudstedet, fx ved let bankning mod knoglerne.

I nogle tilfælde er der såkaldt rotationsfejlstilling. Hvis man knytter hånden, vil fingeren krydse over nabofingeren.

Ved Bennet-brud er der hævelse og ømhed over 1. mellemhåndsknogle nær ved håndroden. Af og til er der tydelig fejlstilling.

Ved omvendt Bennet-brud er der hævelse og ømhed over 5. mellemhåndsknogle på håndrodssiden.

Røntgen bekræfter diagnosen. Billeder tages altid i minimum to planer, forfra og fra siden, men ofte suppleres med et skråt billede for at alle knoglerne kan ses.

Hvorfor får man et knoglebrud på mellemhånden?

Brug på mellemhånden opstår ofte som følge af direkte slagskader på tværs af knoglens længderetning. Stød i længderetningen, som ved slag med knyttet hånd ved slagsmål eller slag mod en væg eller lignende, er også ganske almindelige. Ligeledes kan kraftige vridninger give metakarpbrud, samt hvis man falder og lander på hånden.

Et Bennet-brud skyldes ofte et slag, hvor tommelen tvinges bagover langs sin længdeakse, eller at den bøjes stærkt bagover. På samme måde opstår et omvendt Bennet-brud gerne efter et slag, hvor lillefingeren bøjes stærkt bagover.

Hvordan behandler man et brud på mellemhånden?

Målet med behandlingen er at få sat bruddet pænt på plads, stive det af og forhindre senere komplikationer.

Brud, som ikke har større fejlstillinger, behandles med gips/skinne (konservativ behandling). I første, fjerde og femte mellemhåndsknogle accepterer man en fejlstilling med en vinkelfejl på indtil 10-20°midt på knoglen, og endnu større vinkling ved knoen af fjerde og femte. I anden og tredje mellemhåndsknogle accepteres en noget mindre vinkelfejl.

Brud med større fejlstillinger opereres. Det samme gælder brud, man ikke kan trykke tilfredsstillende på plads samt brud med såkaldt rotationsfejlstilling, hvor fingeren lægger sig ind under nabofingeren, når den bøjes. Bennet-brud kræver normalt operation.

Behandling med gips/skinne 

De fleste brud behandles med bandage. Hvis bruddet skal sættes på plads, kan det ofte ske i lokalbedøvelse.

For at undgå fremtidige gener er det afgørende, at bruddet kommer på plads uden større forskydning.

Hvis bandagen anlægges med hånd og fingre i "funktionsstilling", vil det være lettere og hurtigere at genvinde håndens funktion.

Ved "funktionsstilling" er håndleddet 45 grader bagoverbøjet og fingrene bøjet 80° i grundleddene (knoerne). Der skal være mindst 3 fingre i gipsen for at give stabilitet til bruddet. Mellem fingrene polstres godt for at undgå gnavesår. Bruddet kontrolleres normalt med røntgen - typisk 1 og ca. 4 uger efter skaden.

Ved simple brud i mellemhånden skal gipsen typisk sidde i ca. 4 uger.

  • Behandling med operation
    • Operation er nødvendig ved brud som omfatter et led, ved større skader og fejlstillinger og ved rotationsfejlstillinger. Man bruger som regel ståltråde eller små skinner og skruer til at fæstne bruddet
    • Bennet-brud og "omvendt" Bennet-brud skal normalt opereres, fordi de er ustabile på grund af sener, der trækker i brudenderne. Man anvender ofte ståltråde til fastgørelse, og derefter lægges en gips i 6 uger

Hvad kan jeg selv gøre?

Hvornår skal jeg søge hjælp?

Hvis du efter at være kommet til skade oplever smerter, der ikke forsvinder, samt hvis der er synlig fejlstilling.

Hvordan undgår jeg at forværre brud på mellemhånden?

Det er vigtigt at anvende den anlagte bandage i den ordinerede tidsperiode. I bandageringsperioden skal du passe på, at hånden ikke udsættes for belastninger, som kan få bruddet til at forskyde sig. Hvis du træner flittigt kan det betyde, at håndens funktion hurtigt bliver normal.

Hvordan udvikler sygdommen sig?

Brud i mellemhånden, som heler uden fejlstilling, giver som regel ikke anledning til varigt nedsat funktion af hånden. Hvis bruddet heler med fejlrotation, vil fingrene krydse hen over hinanden, når hånden knyttes.

Andre fejlstillinger kan også give nedsat funktion af hånden. De brud, som går ind i et led, kan give langvarig stivhed og smerter.

Hvor hyppig er brug i mellemhåndsknoglen?

Brud i skaftet i mellemhåndsknoglerne forekommer hyppigt, især i 5. metakarp.

Se brud i 1. metakarp og 5. metakarp.

Vil du vide mere?

Kilder

Fagmedarbejdere

Torben Bæk Hansen

prof., ph.d., overlæge, Ortopædkirurgisk afdeling, Hospitalsenheden Vest, Holstebro

Jette Kolding Kristensen

praktiserende læge, professor, ph.d., Center for Almen Medicin ved Aalborg Universitet

Indhold leveret af

Patienthåndbogen

Patienthåndbogen

Kristianiagade 12

2100 København Ø

DisclaimerPatienthåndbogen