Synovial osteokondromatose

Søren Kold

speciallæge

Fakta

  • Synovial ostekondromatose er en sygdom udgået fra leddets slimhinde, hvor der dannes en masse små knuder, som omdannes til brusk
  • Dette frigøres til leddet og giver hævelse, smerter og måske aflåsning af leddet
  • Selvom tilstanden er godartet, så vil de svære forandringer kunne medføre behov for at udføre en såkaldt artroskopisk synovectomi, hvor al slimhindematerialet fjernes

Hvad er synovial osteokondromatose?

 

Synovial osteokondromatose er en godartet cellevækst i ledslimhinden (synovia) i et led, en slimsæk (bursa) eller seneskede. Den øgede vækst af celler medfører, at der dannes en masse små knuder, som omdannes til brusk, og som senere kan forbene. Store led som knæ, hofte, albue og skulder rammes oftest. Men faktisk kan hvilket som helst led eller ledslimhinde angribes.

Hvad er symptomerne på synovial osteokondromatose?

Symptomerne er smerter ved belastninger, ledhævelse og nedsat bevægelighed. Symptomerne kan ligne generne ved slidgigt.

Hvilke symptomer skal du være særlig opmærksom på?

Hvis symptomerne er svære, bør man ses af en ortopædkirurg, der vil vurdere behovet for kirurgi.

Hvordan stilles diagnosen?

Tilstanden udvikler sig over flere år. Som regel vil et større led - som oftest knæ, hofte, fod, albue eller skulder - i tiltagende grad blive smertefuldt og hævet. Bevægeligheden i leddet nedsættes, og der kan opstå låsningsfænomener. Det vil sige, at leddet "låser", og ikke kan bevæges i nogen retninger i en kort periode.

 

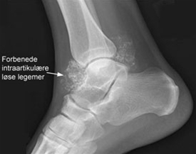
Røntgenbillede vil som regel give diagnosen, idet det viser mange forkalkede mus inde i leddet. Der kan også være slidforandringer. Tidligt i sygdommens forløb kan der dog mangle forkalkninger. MR-skanning er den bedste undersøgelse og kan være nødvendig ved manglende fund ved røntgen eller før en eventuel operation.

Hvorfor får du synovial osteokondromatose?

Årsagen til sygdommen er ukendt. Tilstanden kan opfattes som en godartet svulst i ledslimhinden. Efterhånden som ledslimhinden vokser, dannes der små knuder, som brækkes af i små bidder, og som flytter sig ind mod ledhulen.

Når disse småbidder befinder sig inde i leddet, omdannes de til bruskstykker (mus), som vokser i størrelse. De vil efterhånden variere i størrelse fra nogle få millimeter til flere centimeter.

Med tiden vil det indre af bruskstykkerne forkalkes og forbenes. Efterhånden som tilstanden udvikler sig, vil leddet i stigende grad blive smertefuldt og hævet som følge af, at der dannes mange sådanne bruskmus - ofte flere hundrede mus.

Som følge af dette nedsættes bevægeligheden i leddet. Ledfladen skades, og der kan opstå slidgigtforandringer (artrose).

Hvad er behandlingen?

Behandlingen består i at fjerne ledslimhinden (såkaldt synovectomi). Det er nødvendigt at fjerne hele ledslimhinden. Hvis noget af ledhinden bliver tilbage, er der høj sandsynlighed for tilbagefald.

Fjernelse af ledslimhinden og frie brusklegemer kan ske artroskopisk (kikkertoperation) eller ved åben kirurgi, mens man er bedøvet.

Hvad kan jeg selv gøre?

Du kan holde dig aktiv med træning af leddets bevægelighed og træning af muskulatur omkring leddet.

Hvordan undgår jeg at få eller forværre synovial osteokondromatose?

Der er ingen sikker metode til at undgå, at tilstanden udvikles.

Hvornår skal jeg søge hjælp? 

Når du har gener fra leddet, specielt hvis det hæver eller låser.

Hvordan udvikler sygdommen sig?

Prognosen er god. De fleste bliver raske og kan genvinde funktionen i leddet.

Er synovial osteokondromatose farligt?

I meget sjældne tilfælde kan der opstå kræft i form af synovial kondrosarkom.

Hvor hyppig er synovial osteokondromatose?

Det er en sjælden sygdom, som forekommer 2-4 gange hyppigere hos mænd end hos kvinder. Hyppigst opstår sygdommen i aldersgruppen efter 40 år, men kan også ses hos unge.

Kan jeg få synovial osteokondromatose mere end én gang?

Ja, det kan opstå mere end en gang.

Vil du vide mere?

Kilder

Fagmedarbejdere

Søren Kold

klin. prof., overlæge, ph.d., Klinisk Institut, Aalborg Universitet og det ortopædkirurgiske speciale, Aalborg Universitetshospital

Erling Peter Larsen

speciallæge i almen medicin, Silkeborg

Indhold leveret af

Patienthåndbogen

Patienthåndbogen

Kristianiagade 12

2100 København Ø

DisclaimerPatienthåndbogen