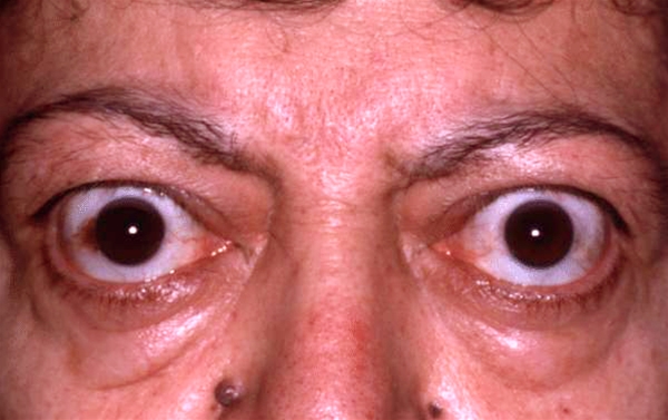
Exoftalmus, frontalbillede
Thyreoidea Associeret Orbitopati (TAO) med øjenlågsretraktion (tilbagetrækning af øjenlåg) og eksoftalmus (fremstående øje). Øjnene fremstår "stirrende".
Vil du vide mere?
Indhold leveret af
Thyreoidea Associeret Orbitopati (TAO) med øjenlågsretraktion (tilbagetrækning af øjenlåg) og eksoftalmus (fremstående øje). Øjnene fremstår "stirrende".
Indhold leveret af