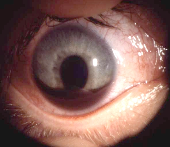
Hyphæma - blødning i øjet

oeje-hyphaema
739

Blødning i forreste øjenkammer - hyphæma - efter et traume mod øjet.

Vil du vide mere?

Indhold leveret af

Patienthåndbogen

Patienthåndbogen

Kristianiagade 12

2100 København Ø

DisclaimerPatienthåndbogen