Makuladegeneration

oeje-makuladegeneration
750

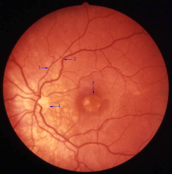
Pilene peger på:

  1. En arteriole (blodkar der fører blod til øjet)
  2. En venole (blodkar der fører blod bort fra øjet)
  3. Den centrale del af nethinden med det skarpe syn. Der ses hvidlige ophobninger (druser) under nethinden, hvilket er et udtryk for aldersrelateret makuladegeneration (AMD)
  4. Synsnerven

Vil du vide mere?

Indhold leveret af

Patienthåndbogen

Patienthåndbogen

Kristianiagade 12

2100 København Ø

DisclaimerPatienthåndbogen